Navigation

  • About LSI
  • Faculty
  • Publications
  • Seminars
  • Education
  • Resources

Publications

  • 2025
  • 2024
  • 2023
  • 2022
  • 2021
  • 2020
  • 2019
  • 2018
  • 2017
  • 2016
  • Former
  • Current Position: homepage  Publications
  • Long Zhang Laboratory published a research article on small method
    2018-06-15
  • Sheng Ye Laboratory published a research article on eLIFE
    2018-06-15
  • Bin Zhao’s Laboratory reported a noveltranscriptionalmechanism of the Hippo pathwayregulating cell invasion and metastasis
    2018-06-06
  • Hai Song’s Laboratory reports the critical role of protein kinases MEKK2/3 in the FGF-mediated inhibition on Hh signaling
    2018-04-20
  • Saiyong Zhu’s Laboratory published a paper on Nature Communications to report a new genome editing system with CRISPR-Cpf1 and small molecules for human pluripotent stem cells
    2018-04-03
  • Hai Song’s Laboratory published a paper on Cell Reports to describe the role and mechanism of LIS1/NDE1 complex in FGF signaling pathway
    2018-03-21
  • Fangwei Wang Lab reports a mechanism linking centromeric heterochromatin to sister chromatid cohesion in mammalsMarch 01,2018
    2018-03-01
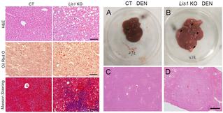
  • Hai Song Lab, The Journal of Biological Chemistry: Hepatic loss of Lissencephaly 1 induces fatty liver and accelerates liver tumorigenesis in mice.March 01,2018
    2018-03-01
  • Long Zhang Lab, Nature Immunology:Tumor-derived exosomes antagonize innate antiviral immunity
    2018-01-25
  • Long Zhang Lab,Nature Communications:Breast cancer metastasis suppressor OTUD1 deubiquitinates SMAD7
    2017-12-14
  • per page 10 records  total 112 records 
  • firstpage <<previouspage nextpage>> endpage
  • PageNumber 5/12 jumpto 
  • Contact
  • Sitemap
  • Zhejiang University

© Copyright 2013 Life Sciences Institute login

星空网页版登录入口 | 万赢官方网站 | 必一官方网页版 | 华体会体育官网入口 | 开云网页版登录入口 | 开云足球体育 | 九州网页版登录入口 | 星空在线注册(中国)官方网站-注册登录 | 必一体育·(中国)官方网站 |